Kidney Stone Treatment in Gurgaon

Kidney stone treatment in Gurgaon is available through modern and safe treatments such as laser surgery, RIRS, URSL, PCNL, and Mini Perc. Dr. Ankit Gupta offers the best kidney stone treatment with minimal pain, faster recovery, and a high success rate.

Call Now

Dr. Ankit Gupta – Best Kidney Stone Specialist in Gurgaon

Dr. Ankit Gupta is a highly experienced urologist who treats kidney stones using advanced and safe methods. He has successfully treated patients with small, medium, and large kidney stones using modern laser procedures.

He carefully evaluates the size, number, and location of the stones before deciding the best treatment approach. His goal is to remove stones with minimal pain and ensure fast recovery.

He uses modern technology for accurate diagnosis and safe treatment. Patients receive proper guidance before and after the procedure, making the treatment smooth and effective.

  • 15+ years of experience
  • Expert in laser stone surgery
  • Advanced equipment
  • Safe and painless treatment
  • High success rate
  • Fast recovery methods
  • Trusted urologist in Gurgaon

Book Your First Consultation

What Are Kidney Stones

What Are Kidney Stones?

Kidney stones are hard deposits made of minerals and salts that form inside the kidneys. They can vary in size and may cause severe pain when they move into the urinary tract.

These stones can block the flow of urine, leading to discomfort, infection, or other complications if not treated in time.

Common causes include low water intake, dietary factors, infections, and certain medical conditions. Medical treatment may be required if the stones do not pass naturally.

Types of Kidney Stones

Kidney stones are of different types depending on the minerals that form them.

  • Calcium Stones: The most common type, formed when calcium combines with other substances in urine and creates hard crystals.
  • Uric Acid Stones: Form when urine becomes too acidic, often seen in people who consume high amounts of meat or drink less water.
  • Struvite Stones: Usually develop after urinary tract infections and can grow quickly if not treated.
  • Cystine Stones: Rare stones caused by a genetic condition, and may recur in some patients.
Types of Kidney Stones
Causes of Kidney Stones

Causes of Kidney Stones

  • Drinking less water
  • High salt diet
  • Too much protein in food
  • Family history of stones
  • Urine infection
  • Obesity
  • Certain medicines
  • Calcium imbalance

Symptoms of Kidney Stones

  • Severe pain in the back or side
  • Pain while passing urine
  • Blood in urine
  • Frequent urination
  • Nausea or vomiting
  • Burning in urine
  • Fever with infection
  • Difficulty passing urine
Symptoms of Kidney Stones
Diagnosis of Kidney Stones

Diagnosis of Kidney Stones

Doctors use different tests to find the size and position of kidney stones and plan the best treatment.

  • Ultrasound:
    A simple and painless test that helps detect stones inside the kidney.
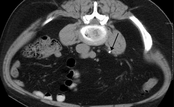
  • CT Scan:
    Provides a clear and detailed image of the stone to guide treatment.
  • Urine Test:
    Checks for blood, infection, and minerals that may cause stone formation.
  • Blood Tests:
    Helps evaluate kidney function and identify the cause of stone formation.

Kidney Stone Treatment Options in Gurgaon

Different treatments are used depending on the stone size, location, and patient condition.

  • Medical Management for Small Stones: Small stones may pass naturally with medicines, pain relief, and increased water intake.
  • RIRS (Retrograde Intrarenal Surgery): Removes kidney stones using a thin scope and laser without any cuts.
  • Laser URSL (Ureteroscopic Lithotripsy): Used for ureter stones and breaks them using laser technology.
  • PCNL (Percutaneous Nephrolithotomy): Suitable for large stones, removed through a small cut in the back.
  • Mini PCNL: Uses a smaller tube to remove stones with less pain and faster recovery.
  • Mini Perc: Removes stones through a very small opening and is safer for medium-sized stones.
  • Micro Perc: Uses a needle-sized opening to remove small stones with minimal pain.
Kidney Stone Treatment Options in Gurgaon
Advanced Laser Kidney Stone Surgery

Advanced Laser Kidney Stone Surgery

  • No big cut needed
  • Less pain after surgery
  • Faster recovery
  • High success rate
  • Short hospital stay
  • Safe for most patients
  • Modern laser technology
  • Less bleeding

Choosing the Right Kidney Stone Treatment

The most suitable treatment depends on the size, number, and location of the kidney stones. Smaller stones may be managed with medicines and increased fluid intake.

Larger or more complex stones may require advanced procedures such as RIRS, URSL, Mini Perc, or PCNL for safe and effective removal.

Doctors carefully evaluate reports and recommend the best treatment option to ensure faster recovery and long-term relief.

Choosing the Right Kidney Stone Treatment
Recovery After Kidney Stone Surgery

Recovery After Kidney Stone Surgery

  • Mild pain for a few days
  • Drink plenty of water
  • Take medicines on time
  • Avoid heavy work
  • Follow the doctor's advice
  • Short hospital stay
  • Regular check-up needed

How to Prevent Kidney Stones

  • Drink enough water daily
  • Reduce salt in diet
  • Avoid too much junk food
  • Eat a balanced diet
  • Control weight
  • Treat urinary infection early
  • Regular health check-up
  • Follow the doctor's advice
How to Prevent Kidney Stones
Diet for Kidney Stone Prevention

Diet for Kidney Stone Prevention

  • Drink more water
  • Eat fruits and vegetables
  • Limit salt intake
  • Avoid too much red meat
  • Reduce soda drinks
  • Take a normal calcium diet
  • Avoid excess supplements
  • Eat healthy food daily

Why Choose Dr. Ankit Gupta for Kidney Stone Treatment in Gurgaon?

Dr. Ankit Gupta has extensive experience in treating kidney stones using modern and safe techniques. He carefully examines each patient and recommends the best treatment based on the size, type, and location of the stone.

He uses advanced machines and laser technology to perform procedures with high precision and safety. His focus is on complete stone removal with minimal pain and faster recovery.

Patients receive proper care before and after the procedure, ensuring smooth recovery and better outcomes. Due to his expertise and patient trust, many people choose him for kidney stone treatment in Gurgaon.

  • Experienced stone specialist
  • Advanced laser surgery
  • Modern operation setup
  • Safe treatment methods
  • Quick recovery
  • High success rate
  • Trusted doctor in Gurgaon

Book Your First Consultation

What Our Patients Say

★★★★★

Rated 5 out of 5 stars from 120+ Reviews

S
Snehlata Singh
★★★★★

Dr. Ankit Gupta is an exceptional urologist who performed my left-sided laparoscopic donor nephrectomy with great skill and precision. Surgery was smooth and recovery was quick. Highly recommended for kidney transplant and urological care.

A
Awanish Singh
★★★★★

My father underwent HOLEP surgery for enlarged prostate under Dr. Ankit Gupta at Narayana Health Hospital. The surgery was successful and recovery was smooth. Highly satisfied.

V
Vyas Chander
★★★★★

I had severe urinary problems before treatment. Dr. Ankit Gupta explained everything clearly and performed TURP surgery smoothly. Now I feel completely relieved.

P
Piyush Kumar
★★★★★

Dr Ankit Gupta operated my uncle for kidney stone using laser surgery. Everything went perfectly and he was discharged the next day. Best urologist in Gurgaon.

P
Prashant Kumar
★★★★★

My mother had severe urinary issues. Dr. Ankit Gupta diagnosed accurately and explained everything clearly. Surgery was successful and recovery smooth.

S
Shifa Parwez
★★★★★

Dr Ankit Gupta treated my father for kidney stone. He explained everything patiently and surgery went well. Very helpful and professional doctor.

P
Paresh Shrivastava
★★★★★

I was treated for kidney stone. Dr Gupta explained everything clearly and responded quickly to all queries. Very knowledgeable doctor.

K
Khurshid Alam
★★★★★

My mother underwent RIRS surgery for kidney stone under Dr. Ankit Gupta. Everything was explained clearly and surgery was successful.

D
Dinesh Kumar
★★★★★

Dr Ankit Gupta operated my uncle for ureter stone. Everything went smoothly. Highly recommended urologist.

R
Renu Bala
★★★★★

Exceptional experience from start to finish. Doctor explained everything patiently and ensured comfort throughout treatment.

N
Nitin Srivastav
★★★★★

My uncle had RIRS surgery. Dr Ankit Gupta’s expertise and caring nature helped in smooth recovery without complications.

FAQs – Kidney Stone Treatment

The best treatment depends on the size, number, and location of the stone. Small stones may pass with medicines and fluids, while larger stones may require procedures like RIRS, URSL, or PCNL.

Yes, small stones may pass naturally with increased water intake and medicines. However, larger stones or those causing pain may need medical treatment or surgery.

Surgery is required when the stone is large, causes severe pain, blocks urine flow, or does not pass with medication.

The best procedure depends on the stone size and location. RIRS and URSL are used for smaller stones, while PCNL or Mini Perc is used for larger stones.

Modern kidney stone surgery is not painful as it is done under anesthesia. Mild discomfort after surgery is normal and manageable with medication.

The procedure usually takes 30 minutes to 2 hours, depending on the size and number of stones.

Recovery depends on the treatment type. Most patients recover within a few days after laser or RIRS procedures, while larger surgeries may take longer.

Yes, stones can recur if proper care is not taken. Drinking enough water and following a healthy diet helps prevent recurrence.

Drinking plenty of water, reducing salt intake, eating a balanced diet, and regular check-ups help prevent kidney stones.

Yes, advanced kidney stone treatments are available in Gurgaon. Dr. Ankit Gupta provides safe and effective treatments using modern technology.

Latest Blogs

Book Free Appointment Free Consultation
Free Consultation Call Now